近日,青大附院心血管内科副主任、病区主任辛辉带领复杂疑难心肌病团队,成功为一名罕见贝氏肌营养不良性心肌病患者作出精准诊断。贝氏肌营养不良属于罕见病,目前,全球男性新生儿中发病率约为1/3万至1/2万,我国男性新生儿中发病率约为3/10万,该疾病诊断难度大,且部分患者症状隐匿,彰显了青大附院复杂疑难心肌病团队在疑难罕见疾病诊疗领域的专业水平。

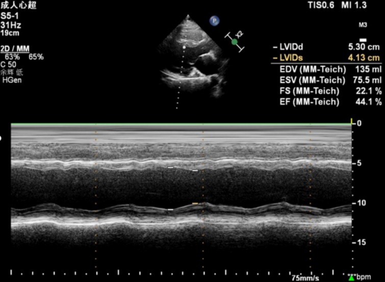
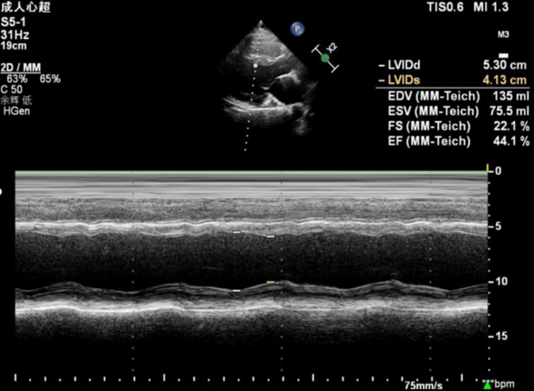
17岁的小敖胸闷、憋气已有2年,近5个月来症状加重,在当地医院进行心脏超声检查发现左心室射血分数(LVEF)降低,为寻求进一步治疗来到青大附院市南院区心血管内科门诊。辛辉主任、高娟主治医师进行详细检查后发现,患者LVEF为44%,且伴有左心扩大、左心室壁炎性表现、左心室收缩运动异常、左心室心肌过度小梁化等,初步诊断为慢性心力衰竭急性发作、炎性心肌病。在进一步询问病史后,治疗团队了解到患者舅舅患有全身肌肉萎缩、瘫痪,两名表弟患有轻度肌肉萎缩,这引起了团队的警觉,立即组织放射科、神经内科、风湿免疫科、心脏超声科、肾病科等多学科专家进行疑难病例讨论。

多学科专家团队结合病情,根据相关指南及专家共识诊疗路径,为患者进行了全面检查,发现患者双上肢肌力为4级、双下肢肌力为4级,且腓肠肌肥大,走路呈鸭步步态,抗SM抗体、抗核糖核酸蛋白抗体为强阳性,尿液葡萄糖、红细胞、蛋白为阳性,初步考虑患者为肌营养不良引起的慢性心力衰竭急性发作。在进一步进行基因检测后,最终确诊患者为贝氏肌营养不良性心肌病,并在神经内科副主任王海萍教授的协助下,成功实施精准治疗。
相关链接
肌营养不良是由编码dystrophin蛋白的基因DMD突变引起的神经肌肉疾病,此蛋白缺失会导致肌肉无力,如骨骼肌、心肌和平滑肌进行性恶化,患者肌膜功能减弱,易受牵引损伤。心脏是人体压力最大的肌肉,约1/3的患者会发生认知障碍、学习困难和行为问题,而心肌病则是肌营养不良患者的晚期表现。在肌营养不良患者中,杜氏肌营养不良患者通常表现在2至3岁之间,儿童常表现为蹒跚步态、脚趾走路和脊柱前凸,在跑步、跳跃、爬楼梯和站立时存在困难,且几乎所有患儿肌无力症状逐渐加重,肢体屈曲性挛缩和脊柱侧凸持续进展。与杜氏肌营养不良相比,贝氏肌营养不良发病率更小,通常症状出现的时间较晚且较轻,诊断难度更大。

青大附院成立心肌病中心并启动心肌病诊疗规范提升项目

青大附院复杂疑难心肌病团队
近年来,青大附院持续提升心肌病诊疗技术、规范诊治流程,牵头成立青岛市心血管内科(心肌病)专科联盟,构建“培养团队、帮扶诊疗、双向转诊、共管共治、资源共享”的发展体系,组建由心血管内科、核医学科、血液内科、内分泌与代谢性疾病科、肾病科、心血管外科、营养科、心脏超声科、神经内科、放射科、风湿免疫科等多学科专家组成的MDT团队,不断提升疑难罕见心肌病诊治水平,促进青岛市疑难心肌病临床诊疗工作的规范化开展。未来,青大附院复杂疑难心肌病团队将通过多层次、多学科联动,建立一系列心肌病诊疗标准、治疗路径及管理路径,形成心肌病分级诊疗体系,持续推动心血管疾病防控事业高质量发展。







