7月13日,青大附院心内科廉哲勋教授团队成功完成Shockwave获批应用后山东省首例冲击波球囊治疗重度冠脉钙化介入手术,标志着青大附院冠脉钙化病变介入治疗进入新阶段。该例手术由青大附院心内科主任廉哲勋教授、谭凯副主任医师和李韶华主治医师完成。

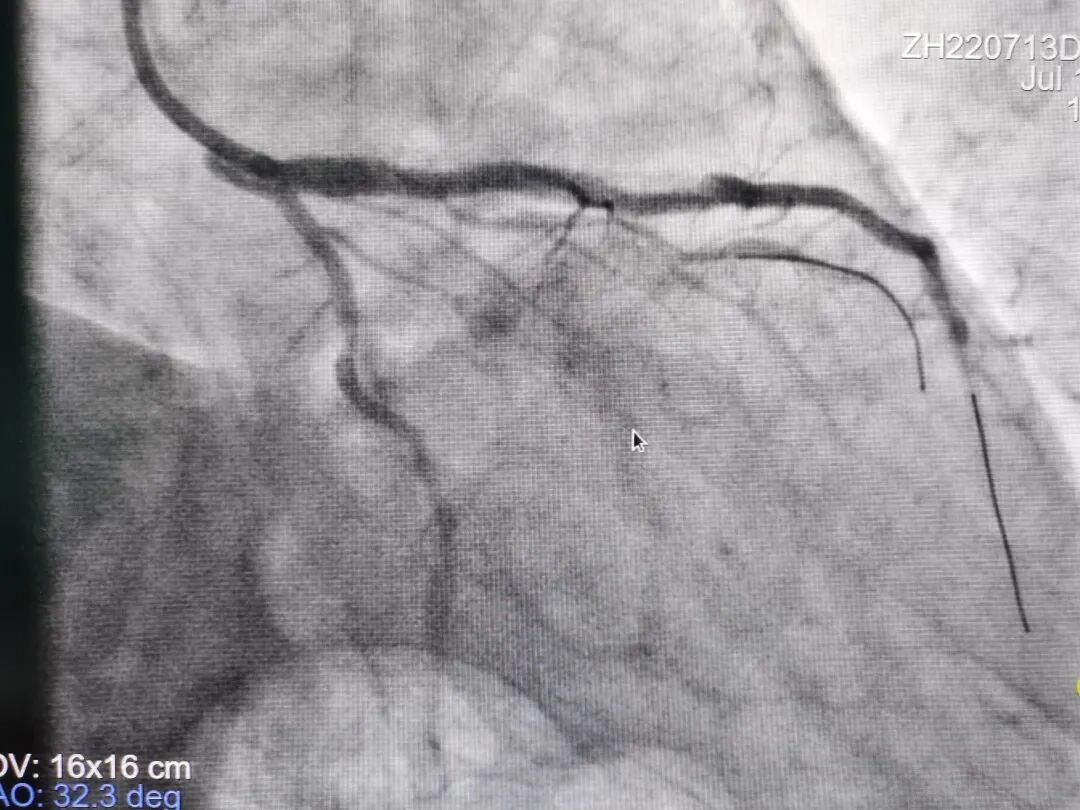
术前影像
冠状动脉钙化病变是介入治疗中非常棘手的病变,尤其是严重钙化病变,被临床医生称为“最硬的骨头”, 它显著增加冠状动脉介入治疗的难度和风险,是支架内血栓形成和再狭窄等不良结果的主要因素,也是心血管介入医师所面临的主要挑战之一。目前冠脉钙化治疗手段如高压球囊扩张、切割球囊、准分子激光、旋磨等技术均存在着局限性,在面临中重度钙化病变特别是深部钙化时往往束手无策,且术中的并发症风险高,会导致血管夹层、穿孔、破裂、无复流等一系列问题。而本次手术使用的Shockwave冲击波球囊,是经皮冠状动脉血管内冲击波能量钙化碎裂术(Intravascular Lithotripsy, IVL)的创新性专用器械,已超过60个国家和地区广泛临床使用,2022年5月在我国获批应用临床。该技术通过球囊内脉冲产生的声压力波可以安全地将血管壁内膜和中膜下的钙化病变震松软,达到钙化斑块修饰的效果,扩大管腔面积,为后续的支架置入和展开提供充分的条件。它利用电动液压驱动的冲击波原理,由能量设备中高科技软件控制精准发出电能,传导到冲击波球囊内两个脉冲发生器,内置电极使得球囊内电解质混合溶液瞬间气化并快速液化,产生高速、安全的声压力波,穿过正常血管组织冲击钙化斑块使其原位断裂,让浅表和深部的钙化被轻松打“软”,从而使硬化的血管重归弹性,明显改善血管顺应性。

术后影像
据心内科廉哲勋主任介绍,病人是一位62岁的男性冠心病患者,外院造影显示冠状动脉左前降支近中段有弥漫、严重狭窄伴重度钙化及血管迂曲,从外院转入青大附院。经团队充分讨论后,在血管内超声评估和指导下,采用Shockwave冲击波球囊钙化斑块碎裂技术,精确冲击冠状动脉内膜和中膜下钙化病灶后,顺利植入支架。

据了解,血管内冲击波治疗是处理钙化的技术革新及创新解决方案,尤其对于深层血管钙化是目前安全有效的治疗手段。《冠状动脉钙化病变诊治中国专家共识(2021版)》中已明确指出:冠脉内冲击波钙化碎裂技术较目前其他钙化处理技术更为安全、有效和简便,是更优化的钙化处理新技术。随着Shockwave冲击波球囊的应用临床,不仅意味着该项创新技术的临床应用价值被进一步认可,也代表着这一前沿技术有望尽快惠及更多国内患者,对长期以来冠脉钙化的临床介入难题,将打开新的治疗局面。







