近日,青大附院泌尿外科主任王科教授带领平度病区团队,成功为一名巨大腹膜后肿瘤患者实施精准切除手术。

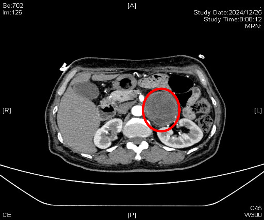
患者李大妈患有一个直径近7厘米的巨大腹膜后肿瘤,肿瘤紧邻肾门血管、腹主动脉、胰腺及肠道等重要器官组织,边界模糊,加之她既往有高血压、糖尿病和房颤病史,身体基本情况较差,给治疗带来了难度。李大妈辗转多家医院就诊,最终来到青大附院泌尿外科平度病区。

患者左侧巨大腹膜后肿瘤
接诊后,泌尿外科平度病区杨彬副主任组织了多学科会诊,经过充分评估,多学科专家认为患者疑似患有凶险的嗜铬细胞瘤。由于病情复杂,手术操作风险大,王科教授与杨彬副主任对手术方案进行了探讨,最终王科教授决定前往平度病区为患者实施手术。术中,手术团队精准分离肿瘤,并成功避开关键血管和脏器,仅用两个小时便顺利完成手术,目前患者身体恢复良好。
青大附院泌尿外科平度病区自建科以来,始终坚守为人民群众健康福祉提供坚实保障的使命,医护团队在泌尿外科王科主任、病区陈强主任的带领下,凝心聚力、砥砺前行,在诊疗技术和服务水平上取得了长足进步。目前,科室先后装备了Storz高清腹腔镜、Olympus双极等离子电切镜、Wolf标准经皮肾镜、瑞士第五代EMS超声碎石清石系统、HAWK输尿管硬镜、Olympus及沃克高清电子输尿管软镜、Olympus及Storz高清电子膀胱软镜等先进设备,在腔镜技术、微创手术等方面形成了科室特色,相关技术达到国内先进水平。
此次巨大腹膜后肿瘤患者的成功救治,充分体现了青大附院泌尿外科的专业技术水平和多院区协作救治能力。今后,科室将继续秉持精益求精的态度,进一步提高危重症救治和高难度手术水平,为患者健康保驾护航。
 
																		
 
                    
           
 





