近日,青大附院泌尿外科主任王科团队为患者成功实施高难度后腹腔镜右肾根治切除术。

患者李女士3个月前因血尿在当地医院就诊,发现右肾有一个巨大肿瘤,且侵犯了周围脏器。在辗转多家医院求医后,得到的结论均为肿瘤侵犯十二指肠合并周围淋巴结转移,无法根治。经过穿刺活检,李女士最终确诊为肾透明细胞癌,开始了靶向药物治疗,但在服药2个月后出现了较严重的口唇、手指干裂等症状,并且CT复查显示肿瘤并未缩小,多家医院也因为风险较大而拒绝为她实施手术。

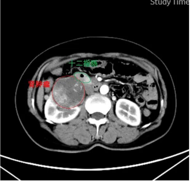
CT影像显示,患者巨大肾肿瘤毗邻十二指肠
经多方咨询,李女士慕名找到青大附院泌尿外科王科教授,王科教授详细查看相关检查,发现肿瘤紧邻下腔静脉、与十二指肠高度粘连,根治性切除难度极大。在反复研究影像学结果、与患者及家属充分沟通后,他决定带领团队接受这个严峻的挑战,为患者实施后腹腔镜右肾根治切除。
经过泌尿外科、胃肠外科、肝胆胰外科、血管外科等多学科团队的术前讨论,王科教授在麻醉科团队的配合下,将患者的肾脏与周围脏器完整分离,腹膜完整保留,且未损伤十二指肠,手术全程不到1个小时,出血量仅40余毫升。术后第一天,患者即可下地、进食。
作为省级临床重点专科,青大附院泌尿外科将继续秉承“以患者为中心”的理念,进一步推动专业技术水平提升,加快学科发展,造福更多患者。







